OPG
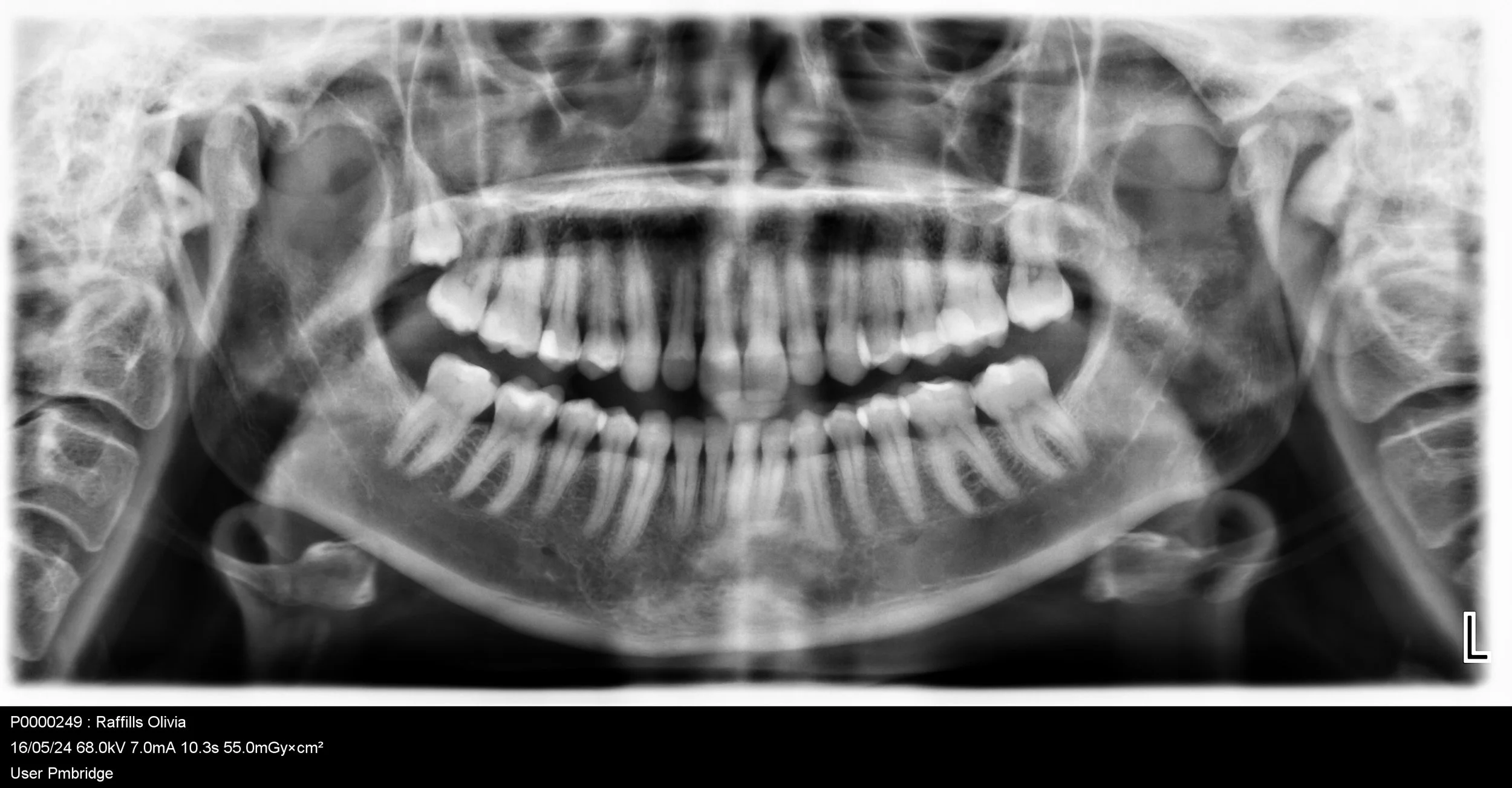
An OPG, also known as a panoramic X-ray, is a dental X-ray that offers a panoramic view of the teeth, mouth, and jaws.
At Remarkables Dental, we are committed to providing top-quality care by continually investing in advanced equipment. Our brand new OPG (orthopantomogram) machine has just been installed, ensuring you can always count on us for your panoramic X-ray needs.
You might be wondering, what is an OPG?
An OPG, also known as a panoramic X-ray, is a dental X-ray that offers a panoramic view of the teeth, mouth, and jaws. This comfortable and non-invasive test involves the patient biting down on a small piece of plastic while the OPG machine rotates around their head to capture a two-dimensional image from ear to ear. This valuable diagnostic tool helps dentists identify various dental and oral health issues.

